Governo anuncia fim da emergência sanitária por covid-19 no país
O ministro da Saúde, Marcelo Queiroga, anunciou em pronunciamento de rádio e TV, na noite do domingo, 17, o fim da emergência de saúde...
BANDIDOS ATACARAM UMA EMPRESA DE VALORES E BASES DA PM NA...
Relatos de moradores em redes sociais apontam que uma transportadora de valores foi tomada, carros e caminhões incendiados além de bases da PM fuziladas.
Imagens...
STJ confirma anulação de multas aplicadas sem dupla notificação
A segunda turma do Superior Tribunal de Justiça (STJ) confirmou a necessidade de envio de dupla notificação para as empresas proprietárias de veículos conduzidos...
Dicas de como fazer melhores escolhas e manter o peso em...
Uma pesquisa divulgada recentemente pela USP (Universidade de São Paulo) apontou que o risco de obesidade é 45% maior entre adolescentes cuja dieta é...
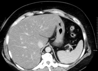
Gordura no fígado: o que é, causas e sintomas
A gordura não é necessariamente prejudicial ao organismo humano, mas seu excesso pode causar diversas condições e enfermidades. Entre elas, está a esteatose hepática,...
Contran autoriza multas por câmeras de videomonitoramento
Nova regra, prevista desde 1998, entrou em vigor em abril, e busca coibir que motoristas pratiquem infrações de trânsito
Os órgãos que regulam o trânsito...
Após mega-aumento da Petrobras, postos terão de cortar uma casa decimal...
Depois do mega-aumento dos combustíveis, os postos se preparam para uma nova mudança que vai mexer nos preços de novo: o corte da terceira...
Votorantim Cimentos abre inscrições para a terceira edição do Programa de...
Fábrica de Vidal Ramos abrirá vaga destinada para estudantes de cursos técnicos. Inscrições vão até 29 de abril
A Votorantim Cimentos, empresa de materiais de...
Empresas de tecnologia estão com mais de 200 vagas de emprego...
Oportunidades são para diversas funções, como desenvolvedor, executivo de contas e analista de RH. Atuação, na maioria dos casos, é remota
O mercado de trabalho...
Educação de Itajaí é destaque no Senado Federal
Reportagem trouxe reflexões sobre o ensino pós-pandemia e enfatizou ações desenvolvidas pelo Município
A Educação de Itajaí é destaque nacional mais uma vez. Uma reportagem...
Com custos em alta, produtores de ovos e suínos optam por...
Pressionados pela alta dos custos, acentuada no último mês como consequência da guerra na Ucrânia, produtores de suínos e ovos passaram a reduzir suas ofertas...






























