Covid-19: chega ao fim estado de emergência em saúde pública no...
Segundo o governo, nenhuma política pública de saúde será interrompida
Chegou ao fim, neste domingo (22), o estado de Emergência em Saúde Pública de Importância Nacional (Espin),...
Brasileiro é primeiro infectado por varíola dos macacos na Alemanha
Brasileiro de 26 anos, que esteve em Portugal e Espanha, está em isolamento numa clínica em Munique. Com vários casos confirmados na Europa, este...
SC tem dez vítimas de exploração sexual infantil resgatadas em megaoperação
Estado teve 797 locais fiscalizados, em especial as casas noturnas à beira de rodovias
Santa Catarina teve ao menos dez vítimas de exploração sexual infantil...
Ciclone causa mortes e provoca estragos em RS e SC e...
A terça-feira, 17, foi conturbada nos municípios do Rio Grande do Sul, em especial nas cidades da região Leste do estado com a chegada...
Ciclone subtropical áreas de risco em Santa Catarina
O fenômeno traz risco potencial de estragos por conta dos fortes ventos, o mar fica muito agitado e há risco de ressaca. De acordo...
VIOLENTO CICLONE PODE TRAZER VENTO COM FORÇA DE FURACÃO
Ciclone de rara intensidade e trajetória com vento extremamente forte e com alto risco de danos e comprometimento de serviços públicos atingirá o Rio...
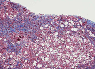
Estudo encontra relação entre hepatite aguda em crianças e covid
O atual surto de hepatite aguda de causa desconhecida que já atingiu mais de 300 crianças em mais de 20 países e regiões do mundo pode...
Especialista dá dicas de como usar os valores do saque extraordinário...
Recentemente, o Instituto Nacional do Seguro Social (INSS) iniciou os pagamentos da primeira parcela do 13º salário para aposentados e pensionistas. Em paralelo, o...
O Hospital Marieta atualizou o parque de computadores e impressoras por...
A iniciativa foi para modernizar de forma rápida e garantir mais eficiência da unidade. O material foi tratado com a Simpress, empresa especialista em...
Cientistas de Oxford criam vacina contra três tipos de câncer, diz...
Pesquisadores da Universidade de Oxford, Reino Unido, criaram a empresa farmacêutica Oxford Vacmedix e estão desenvolvendo uma vacina para combater três tipos de câncer....
20ª Semana Nacional de Museus conta com programação completa na próxima...
As atividades começam na segunda (16) e seguem até sábado (21)
A 20ª Semana Nacional de Museus do Instituto Brasileiro de Museus (IBRAM) conta com...
Município de Itajaí promove ações de combate ao abuso e exploração...
Mobilização ocorre na próxima quarta-feira (18) com pedágios educativos e distribuição de materiais informativos
O Município de Itajaí, por meio da Rede de Atenção Integral...






























