O ministro da Saúde, Marcelo Queiroga, assinou a portaria de encerramento da emergência de saúde pública de interesse nacional da pandemia da covid-19, nesta sexta-feira (22). Essa condição reconhecia a gravidade da pandemia e dava base para políticas e medidas de autoridades de saúde nos níveis federal, estadual e municipal. A norma deverá ser publicada em...
A doença é a segunda maior causa de mortes no Brasil
Um dos pontos considerados importantes na área da saúde é a disseminação de informações sobre prevenção e tratamento de doenças e problemas de saúde como o Acidente Vascular Cerebral (AVC), que atinge cerca de 16 milhões de pessoas por...
O ministro da Saúde, Marcelo Queiroga, anunciou em pronunciamento de rádio e TV, na noite do domingo, 17, o fim da emergência de saúde pública em decorrência da pandemia.
Segundo o ministro, o anúncio foi possível por causa da melhora do cenário epidemiológico, da ampla cobertura vacinal e da capacidade de...
Uma pesquisa divulgada recentemente pela USP (Universidade de São Paulo) apontou que o risco de obesidade é 45% maior entre adolescentes cuja dieta é baseada em ultraprocessados.
A obesidade é reconhecida pela Organização Mundial da Saúde (OMS) como a maior epidemia de saúde pública mundial. A alimentação pouco saudável e...
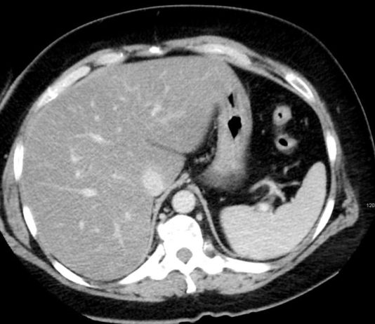
A gordura não é necessariamente prejudicial ao organismo humano, mas seu excesso pode causar diversas condições e enfermidades. Entre elas, está a esteatose hepática, popularmente chamada de "gordura no fígado". Entenda quais são os sinais de gordura no fígado e previna-se de quadros mais graves, como a cirrose.
O que é esteatose...
De acordo com a médica Carol Berger, de Florianópolis, a pandemia acelerou o processo de envelhecimento e os procedimentos estéticos são cada vez mais necessários.
Os últimos dois anos foram marcados pelo uso obrigatório de máscaras no combate à Covid-19. Com a redução dos números de casos ativos da doença...
Dado foi divulgado pelo Núcleo de Estudo de Economia Catarinense da Universidade Federal de Santa Catarina nesta segunda-feira (4)
Os casos ativos da Covid-19 em Santa Catarina caíram em 13% quando comparados com os dados do último boletim do Necat (Núcleo de Estudo de Economia Catarinense), da UFSC (Universidade Federal de Santa Catarina), divulgado na...
Somos responsáveis por investir recursos públicos em algo fundamental para a vida, o saneamento. Esgoto tratado é garantia de rios e praias mais limpos.
Para mais informações e agendamento de vistorias, está disponível o whatsapp (47) 9265-6598
Itajaí registrou uma morte pela doença em morador que contraiu o vírus no Tocantins
A Secretaria de Saúde de Itajaí, por meio da Vigilância Epidemiológica, reforça a importância de a população tomar a vacina contra a febre amarela. O imunizante está disponível nas 29 unidades de saúde do município, conforme...
A Anvisa (Agência Nacional de Vigilância Sanitária) aprovou a autorização do uso emergencial do antiviral Paxlovid, remédio produzido pela Pfizer contra a covid-19
O medicamento é composto por comprimidos de nirmatrelvir e ritonavir embalados e administrados juntos. É indicado para o tratamento da doença em adultos que não precisam oxigênio...




























